How Early Intervention Can Transform Breathing and Growth
By Dr. Ammar — Elite Orthodontics & Pediatric Dentistry, Northern Virginia
When most parents think about orthodontics, they picture straight teeth and beautiful smiles. But there’s a much deeper story that begins long before braces — one that involves how your child breathes, sleeps, and grows.
At Elite Orthodontics and Pediatric Dentistry, our approach goes beyond aesthetics. We focus on what’s known as airway-driven orthodontics — a specialized method that supports healthy breathing patterns, jaw development, and overall facial growth from an early age.
Why Airway Health Starts With Pediatric Dentistry
Early childhood is a critical time for growth and development. A pediatric dentist is often the first doctor to identify potential airway issues that can affect your child’s sleep and development.
Common signs that your child may have airway-related problems include:
- Mouth breathing or difficulty breathing through the nose
- Restless sleep (moving a lot during the night)
- Snoring or pauses in breathing
- Bed-wetting beyond early childhood
- Sweating during sleep
- Waking up tired or napping often during the day
These symptoms can signal obstructed airways or narrow dental arches — both of which limit oxygen intake during sleep. That’s why collaboration between pediatric dentists and airway orthodontists is so important early on.
What Happens When Arches Are Too Narrow
“When the upper jaw (the palate) is too narrow, it limits both space for the teeth and the airway itself.” – Dr. Ammar
Studies show that expanding the dental arches not only creates room for teeth but also helps open the airway. As the palate widens, the nasal cavity expands, allowing for improved airflow and easier breathing — even reducing the size of enlarged tonsils and adenoids in some children.
How Airway-Driven Orthodontics Helps
At Elite Orthodontics, our approach is both structural and functional.
1. Palatal Expansion
We gently widen the upper jaw to improve nasal breathing and tongue posture. This makes the nasal triangle larger, increases tongue space, and promotes healthy facial balance.

2. Lower Jaw Advancement
For children with smaller lower jaws, we use time-sensitive orthopedic appliances to guide the jaw forward into a more ideal position. This not only improves facial harmony but also lifts the hyoid bone, which supports the soft tissue airway — leading to better airflow and improved sleep quality.
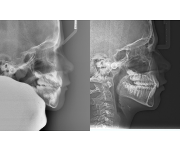
3. 3D Growth Approach
Using 3D imaging and airway analysis, we can visualize the child’s airway, jaw structure, and growth direction. This allows for a comprehensive treatment plan that enhances both aesthetics and breathing function.
Why Timing Matters
The best time to address airway and jaw growth is early — often around age six, or even sooner in some cases. Once growth plates fuse, expansion becomes limited and may require surgical intervention.
Choosing an airway-focused orthodontist ensures your child’s treatment plan supports both dental alignment and airway development.
“If the arches stay small and the jaw remains underdeveloped, surgery later on can’t achieve the same natural results as early intervention.” – Dr. Ammar
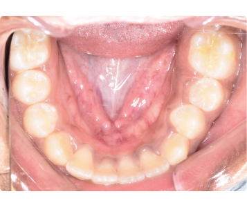
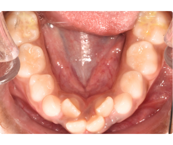
Before and After: Expanding the Airway, Expanding Possibilities
Our before-and-after cases clearly show the power of airway-driven orthodontics. After treatment, the palate is wider, the airway is larger, and the child experiences better sleep, improved focus, and enhanced overall wellness.

The Long-Term Impact of Airway Orthodontics
When a child breathes better, they sleep better — and that impacts everything from learning ability and behavior to growth and confidence. Airway-driven orthodontics isn’t just about straight teeth; it’s about setting children up for a lifetime of healthy breathing and development.
Learn More About Airway-Focused Orthodontics in Northern Virginia
At Elite Orthodontics and Pediatric Dentistry, we specialize in:
- Early airway evaluation
- Interceptive orthodontics
- Collaborative pediatric dental care
Our goal is to help children grow, breathe, and thrive.
If you’ve noticed any signs of sleep or breathing issues in your child, schedule a consultation today to see how airway-focused orthodontics can make a difference.
Book your consultation at Elite Orthodontics & Pediatric Dentistry

